The Role of Technology in Orthodontics
At each of our locations, we focus on a patient-friendly atmosphere and approach that delivers cutting-edge orthodontic treatment.
We use advanced technology to gain a detailed understanding of your orthodontic concerns. This allows us to make accurate, personalized diagnoses and create customized treatment plans tailored to your needs and goals – ensuring your care is both safe and efficient.
Our technology also helps us develop and adjust treatment plans as needed throughout your journey.
Additionally, we use these tools to keep you informed every step of the way, providing clear communication about your condition, treatment plan, and progress.

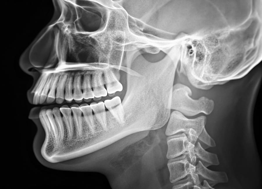
Digital X-rays
Digital X-ray technology uses digital sensors and a computer to create detailed, high-quality images of your teeth and gums.
Dr. Isaac will review these images to assess the position of your teeth beneath the gums and evaluate the surrounding bone structure. This helps diagnose your orthodontic condition accurately. Additionally, the X-rays can reveal important factors that may impact your treatment, such as developing tooth decay or existing dental restorations. All of this information is essential for diagnosis and effective treatment planning.


Panoramic X-rays
Panoramic X-ray technology captures a two-dimensional image that shows your mouth’s oral structures in one comprehensive view. This includes your teeth, upper and lower jaws, and the surrounding tissues and structures.
These X-rays are essential for evaluating the presence or absence of specific teeth and their roots, their shape and structure, eruption sequence, and how they relate to one another within the jaws. This information provides valuable insights that guide treatment planning and assessment.
iTero™ Intraoral Scanner
The iTero intraoral scanner is a handheld imaging device that creates highly detailed, three-dimensional digital impressions of the hard and soft tissues of the mouth, eliminating the need for goopy impression materials! The process is fairly quick and minimally intrusive. You simply open wide while Dr. Isaac moves the device around your mouth, capturing images.
The system then renders 3-D models of the inside of your mouth, which are displayed in real-time on a touch screen. These scans help us with planning treatment with Invisalign clear aligners.


Dental Monitoring
Dental monitoring is a method of tracking orthodontic progress remotely. At our clinics, we use it exclusively to monitor treatment with Invisalign clear aligners.
Throughout your treatment, we will ask you to regularly submit photos of your smile via the DentalMonitoring app. This allows us to assess your progress against the anticipated treatment plan to ensure everything remains on course.